Dental Implants In Dubai
- The Perfect Replacement For Missing Teeth
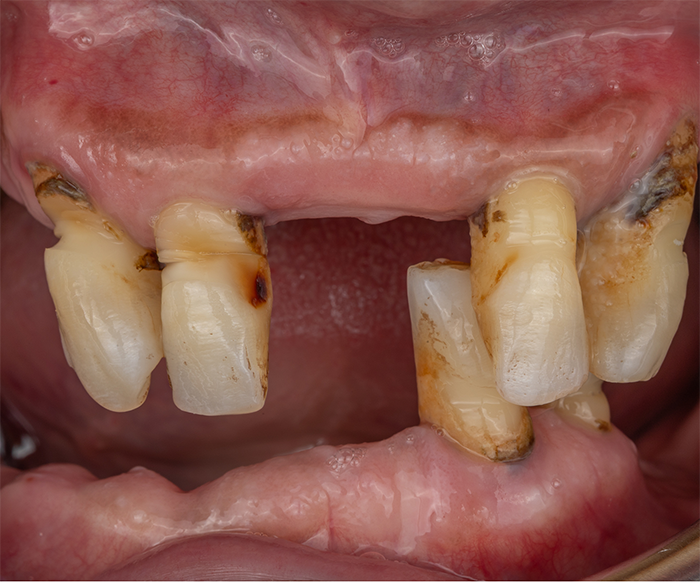
Dental implants are an innovative, long-lasting solution for missing teeth or fed up with ill-fitting removable dentures. Even though teeth are meant to last us a lifetime, we understand that things can happen. Gum disease, tooth decay, accidents and injuries can all cause the loss of teeth. However, implants are a permanent and natural-looking way of replacing them. Dental implants in Dubai are a viable solution for residents who are looking for a permanent and natural-looking solution for those suffering from tooth loss. . At Queens Elite Medical Center, we use the latest technology to create tooth implants in Dubai that look like natural teeth. For those seeking fast results, dental implant clinic also specializes in same day dental implants, ensuring you leave with a complete smile in just one visit – as a trusted same day dental implants clinic, we provide advanced technology and experienced specialists for a safe, same-day transformation.
Gum disease, tooth decay, accidents and injuries can all cause the loss of teeth. However, implants are a permanent and natural-looking way of replacing them At Queens Elite Medical, we use the latest technology to create tooth implants in Dubai that look like natural teeth. No one will know the difference! We’ll book you in for a free consultation with one of our dentists, who will assess your suitability for treatment. The dental implant dentist will take x-rays to check the condition of your jaw and if you are a viable candidate for implants. Our dentist will work with you to carefully plan the procedure.
We maintain full transparency with our patients about luxury dental implant treatment cost in Dubai, helping you plan your treatment with no hidden surprises.
We appreciate that selecting a dental implants clinic can be a big decision. At Queens Elite Medical, our dental implant dentists are well-experienced and guide all of our patients properly regarding dental implants so that everyone can avail personalized treatment at our clinic with a focus on quality and comfort to invest in the best dental implants at our clinic.
Reach out to Queens Elite Medical today – we are proud to be recognized among the providers of the best dental implants in Dubai, thanks to our commitment to quality and patient satisfaction.
What Are Dental Implants?
Dental implants are durable, biocompatible tooth root replacements made from medical-grade titanium. Engineered to integrate seamlessly with the jawbone, they provide a secure and durable base for both fixed and removable artificial teeth. Whether you’re missing one tooth, several teeth, or an entire arch, dental implants provide a reliable and natural-looking solution. Recognized as the gold standard in restorative dentistry, implants not only restore function but also preserve facial structure and improve overall oral health.
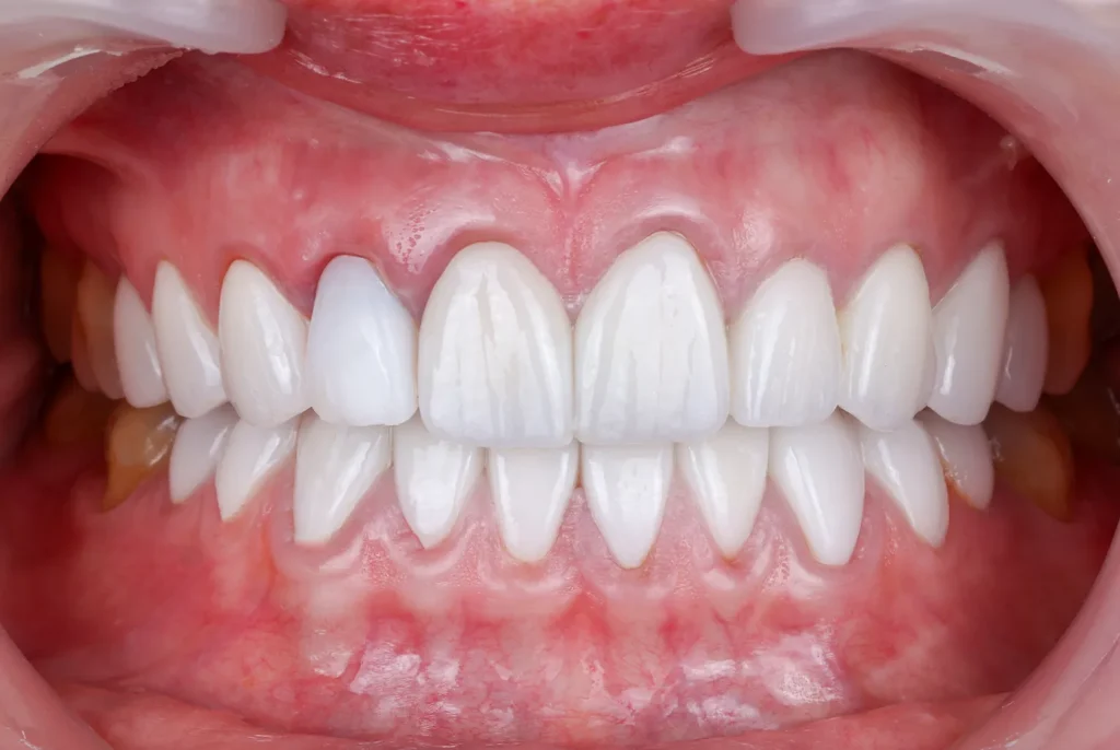
Say goodbye to missing teeth and hello to confidence! At Queens Elite Medical, our expert dental implant solutions offer lasting comfort, function, and a flawless smile—crafted just for you.
When patients come to Dubai for dental implant treatment, they can be sure of the advanced technology, precision in planning, and longevity of results that come with their treatment. It is designed to provide a natural tooth appearance, feeling, and function so that one would regain confidence by restoring the damage in the jawbone for the overall oral stability for years to come.
Benefits Of Dental Implants
Dental implants provide so much more than the replacement of a missing tooth as they provide the comfort and self-confidence associated with the ease of eating and speaking. They ensure the strength of the jawbone and the support of the adjacent teeth and offer a completely normal sensation during eating and speaking. They can last for years if they are maintained properly.
They provide many benefits, including:
- Prevents bone loss
- Prevents your face changing shape
- Easy to care for
- Matches your natural teeth
- Restores bite force


How Dental Implants Work
A dental implant is a small, biocompatible titanium screw that is precisely inserted into the jawbone. The procedure is carried out under local anaesthesia or sedation to ensure you’re comfortable and pain-free throughout. After placement, the surrounding bone gradually bonds with the implant in a process known as osseointegration, forming a solid foundation for securely attaching artificial teeth. For successful implantation, good oral health is essential. Any signs of gum disease or tooth decay must be treated beforehand. Additionally, smoking can significantly reduce the chances of success, as it negatively impacts gum health and blood circulation.
Why Choose Dental Implants
Dental implants are widely regarded as the most effective solution for replacing missing teeth. Unlike temporary alternatives, implants offer a permanent fix by integrating directly with the jawbone—mimicking the role of natural tooth roots. This strong foundation allows for secure, natural-looking artificial teeth that not only restore your smile but also support overall oral health. By stimulating the jawbone, implants help prevent the bone deterioration that often follows tooth loss. When properly cared for, dental implants are a durable and discreet option that can last a lifetime, making them an investment in both function and aesthetics.
Types of Dental Implants
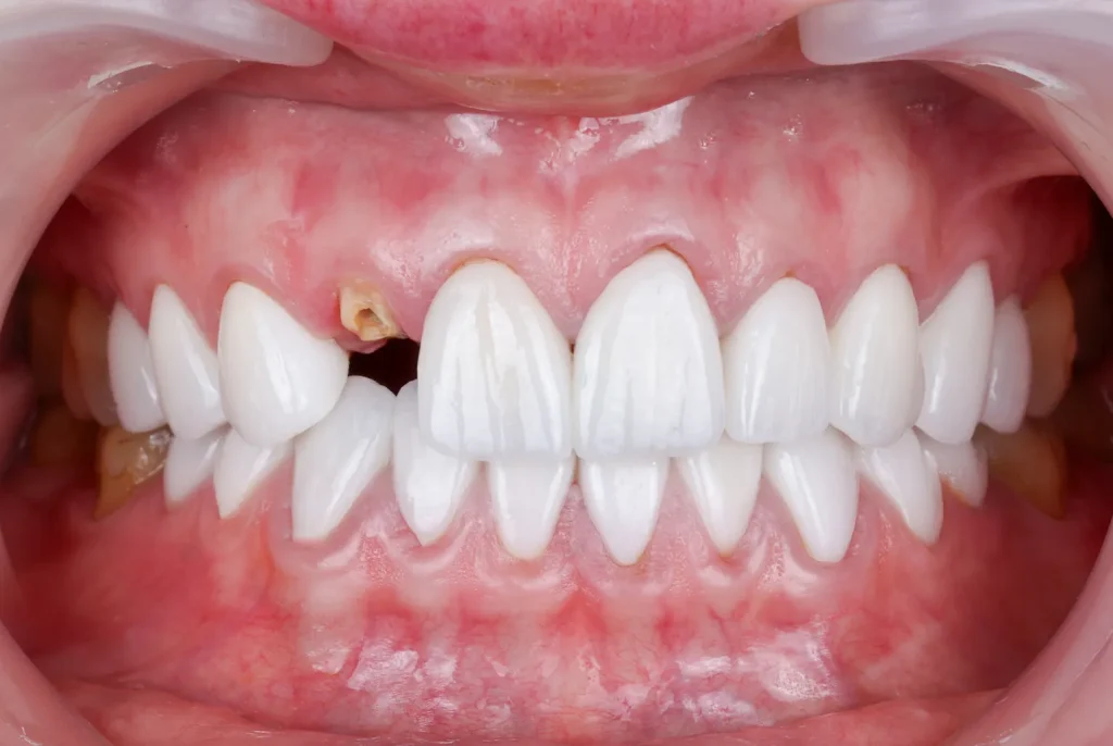
Single Tooth Implant
When it comes to replacing a single missing tooth, dental implants offer the perfect solution. Unlike traditional methods, they function independently without affecting the surrounding teeth, preserving your natural smile and oral health.
A single tooth dental implant looks and feels just like your natural tooth. It’s carefully placed by a dental expert to blend in seamlessly with your smile, without affecting your bite or everyday comfort. This implant solution is long-lasting, easy to maintain, and replaces the missing tooth without disturbing the healthy teeth around it.
Multi Tooth Implant
All-on-4 and All-on-6 Implants
All-on-4 and All-on-6 Implants offer a permanent and life-changing solution for individuals with multiple missing teeth or those seeking full-mouth restoration. These advanced techniques use four or six strategically placed dental implants to support a full arch of fixed replacement teeth—eliminating the need for traditional dentures.
Same-Day Implants
This innovative technique enables you to restore missing teeth on the very same day your implants are placed. Perfect for the visible front teeth, it offers immediate aesthetic improvement and a complete smile transformation in just one visit.
Same-day implants can provide the greatest benefits for patients who want quick and successful outcomes with fewer visits. With advanced planning and our precision technology at our dental implant office, we can create a smile for you that looks and feels completely natural from the first day.
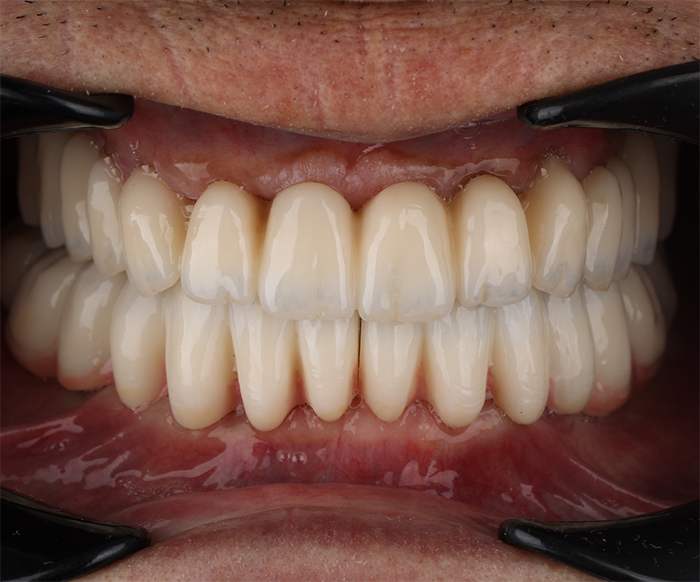
smile makeover
by our cosmetic dentists
Best Dental Implant Dubai – Permanent Tooth Replacement
Queens Elite Medical is a trusted dental implant clinic in Dubai, offering comprehensive implant solutions under one roof. We follow international standards and advanced digital protocols to ensure predictable, long-term success.
Starting from your first visit at the time of the initial consultation until the final restoration phase is carefully tended to with utmost caution. This is because our dental implants specialist is keen to address all your demands with a full explanation of all possible solutions before arriving at the desired results.
What sets us apart:
- Highly experienced implant dentists
- Advanced 3D CBCT scans for accurate planning
- Digital smile design and guided implant placement
- Internationally approved implant systems
- Patient-centric care in a comfortable environment
Dental Implant Cost in Dubai – Clear & Transparent Pricing
Understanding the Dental Implants Cost in Dubai is an important part of your treatment journey. At Queens Elite Medical, we believe in honest and transparent pricing with no hidden charges. Our treatment plans are customized based on your dental condition, ensuring affordable dental implants in Dubai without compromising on quality.
- Number of implants required
- Type of implant system used
- Bone grafting or additional procedures
- Type of dental implant restoration
Affordable Dental Implants Dubai – Patient-Focused Care
We understand that affordability plays a major role when choosing dental care. Queens Elite Medical is committed to providing best dental implants in Dubai with flexible treatment options and personalized plans.
Quality care should never have to feel like it’s just out of reach. At our practice, we work hard to ensure that patients understand the cost of dental implants, so we can empower them with the knowledge needed to make informed decisions with confidence.
With comfort, clarity, and successful outcome as our top priorities, we ensure that each step of the patient’s journey with us is based on their needs and peace of mind.
Our patient-focused approach includes:
- Detailed consultations and treatment explanations
- Customized implant solutions
- High safety and hygiene standards
- Ongoing follow-up and aftercare
Complete Dental Implant Solutions for a Lifetime of Confident Smiles
At Queens Elite Medical Center, we offer comprehensive dental implant solutions—all in one place—for your ultimate comfort and convenience. Our expert team is composed of board-certified Implantologists, Prosthodontists, Periodontists, and Oral Surgeons, each committed to restoring smiles with precision and care. Whether you need a single tooth replacement or a full-arch restoration such as All-on-4 or All-on-6, we provide advanced implant dentistry tailored to your unique needs.
With such emphasis being placed upon long-term success, our expertise is brought together through innovation and personalized care. Those who turn to dental implants in Dubai from Queens Elite Medical benefit from utmost coordination, planning, as well as support in order to have a hassle-free experience along with a confident smile.
FAQs
Are dental implants a permanent solution?
Why should I choose Queens Elite Medical for dental implants in Dubai?
Queens Elite Medical is a trusted dental implant clinic in Dubai, offering advanced technology, experienced implant specialists, and internationally approved implant systems. We focus on precision, comfort, and long-lasting results.
Are dental implants painful?
Dental implant treatment is usually performed under anesthesia, making the procedure comfortable and pain-free. Some mild discomfort after the procedure is normal and can be easily managed with prescribed medication.
Who is eligible for dental implants?
Most adults with good general and oral health are suitable candidates for dental implants. Adequate jawbone density is important, but even patients with bone loss may qualify with additional procedures such as bone grafting.
How long does dental implant treatment take?
The treatment timeline depends on individual cases. Typically, dental implant treatment may take a few months, allowing time for the implant to integrate with the jawbone before the final dental implant restoration is placed.
What types of dental implant restorations are available?
At Queens Elite Medical, we offer a range of dental implant restoration options in Dubai, including single crowns, implant-supported bridges, and full-arch restorations. Each restoration is customized for comfort, strength, and natural aesthetics.
Are affordable dental implants available in Dubai?
Yes. Queens Elite Medical provides affordable dental implants in Dubai without compromising on quality. We offer personalized treatment plans designed to suit your dental needs and budget.
How do I book a dental implant consultation at Queens Elite Medical?
You can book your consultation by contacting Queens Elite Medical directly. Our dental team will assess your condition, explain treatment options, and guide you through the process step by step. Location is Dubai Marina, and you can contact us today to start your dental implant journey with confidence.