Megagen Dental Implants in Dubai
Smart Solutions for Your Smile at Queens Elite Medical
- Long-lasting and durable solution
- Feels and functions like a natural tooth
- Prevents bone loss and supports facial structure
- No need to alter nearby teeth
- Easy to clean and maintain
BOOK YOUR APPOINTMENT
Why Choose Megagen Dental Implants at Queens Elite Medical?


Advantages
Exceptional Initial Stability
Megagen's patented KnifeThread® design and unique thread configurations provide outstanding primary stability, even in compromised or softer bone. This crucial feature is vital for the success of immediate loading protocols, allowing for quicker placement of your temporary or even final crown.
Accelerated Osseointegration with Xpeed® Surface
Megagen implants are treated with Xpeed®, a calcium-incorporated surface treatment. This innovative technology promotes faster and stronger osseointegration (the vital fusion of the implant with your jawbone) by mimicking the natural bone healing process, leading to quicker recovery times.
High Strength and Durability
Made from high-grade titanium, Megagen implants are robust and designed to withstand the forces of chewing, offering a durable and long-lasting solution for tooth replacement.
Lifetime Warranty
Megagen demonstrates confidence in its product quality with a lifetime warranty on their implants, providing you with long-term assurance for your investment.
Meet Our Esteemed Implantologist
Dr. Haroon Malik

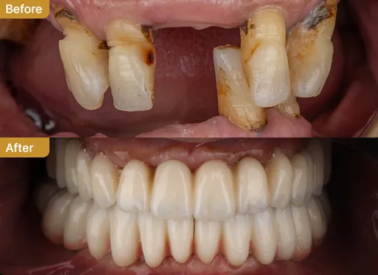
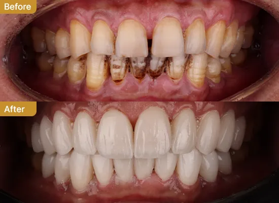
See the Transformation –
Dental Implants by Our Experts



Before

After
Types of Implants


Single Tooth Implants
Replace one missing tooth

Multiple Teeth Implants
For several missing teeth in a row

Full Mouth Implants (All-on-4 / All-on-6)
Full arch restoration using minimal implants e.
Our International Patients







Megagen Dental Implants Cost in Dubai
Megagen dental implants offer an excellent balance of advanced technology, proven clinical success, and affordability. The cost of Megagen implants in Dubai can vary based on individual factors such as the number of implants needed, the complexity of your case, and any supplementary procedures like bone grafting.
In Dubai, the cost for a single Megagen implant, including the implant fixture, abutment, and zirconia crown, typically starts from around AED 3,500 to AED 6,000, offering a highly competitive option for premium quality. For a precise and personalized cost estimate tailored to your unique needs, we invite you to schedule a comprehensive consultation with our implant specialists at Queens Elite Medical. We will provide a transparent breakdown of all costs involved and discuss any available payment options.
Discover the smart choice for a renewed smile. Contact Queens Elite Medical in Dubai today to schedule your consultation for Megagen Dental Implants.