Before After Cases - Hollywood Smile

Before image of cosmetic aesthetic treatmentCosmetic treatment after procedure result
Patient appearance before cosmetic procedureFinal appearance after cosmetic treatment

smile makeover
by our cosmetic dentists

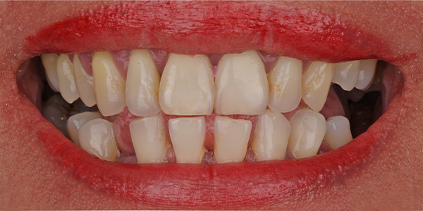
Before Emax veneer dental treatment image
Before
Emax veneer after treatment results at Queens Elite Dental
After
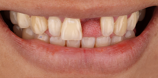
Smile appearance before Emax veneer application
Before
After results of Emax veneer treatment showing enhanced smile
After
Before image of Emax veneer dental procedure
Before
Post-treatment result of Emax veneer cosmetic dentistry
After
Teeth condition before feldspathic veneer application
Before
Feldspathic veneer smile makeover result
After
Before
After result of feldspathic veneer dental treatment
After
Scroll to Top

BOOK AN APPOINTMENT