Restore Your Smile with Expert Dental Crowns and Bridges in Dubai
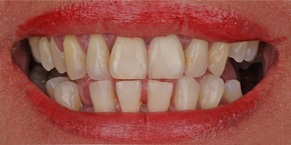
Feeling self-conscious about broken, missing, or damaged teeth? At Queens Elite Medical Center L.L.C, we offer advanced dental crown and bridge solutions designed to restore both the function and beauty of your smile.
Recognized as one of the leading dental clinics in Dubai, our team of experienced dentists delivers personalized care using the latest techniques and materials to ensure natural-looking, long-lasting results.
Whether you’re considering permanent dental crowns or bridges, we’re here to guide you through every step of the process. Regain your confidence—book a consultation with Queens Elite Medical today and take the first step toward a healthier, more radiant smile.
Reliable Solutions for Damaged or Missing Teeth

Benefits Of Crowns & Bridges
- Restores Functionality
- Improves Aesthetics
- Prevents Teeth Shifting
- Protects Weak or Damaged Teeth
- Durable and Long-Lasting









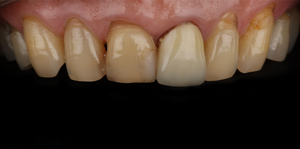
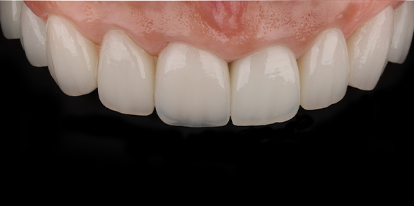
What is a Dental Crown?
A dental crown is a custom-made cap placed over a tooth to restore its shape, strength, and appearance. It’s the ideal solution for broken, worn-down, or root canal-treated teeth.
What Is a Dental Bridge?
A dental bridge is a fixed prosthetic device that replaces one or more missing teeth by anchoring artificial teeth (pontics) to the natural teeth or implants on either side of the gap. It literally “bridges” the space created by missing teeth.

Cost of Dental Crowns and Bridges
How It Works
-
Consultation & Evaluation
Your journey begins with a thorough dental assessment. Our experienced dentists will examine your teeth, discuss your concerns, and determine whether a crown or bridge is the right solution for your case. We’ll also recommend the best material based on durability, function, and aesthetics.
-
Tooth Preparation & Impressions
For crowns, the damaged tooth is carefully shaped to fit the crown. For bridges, the surrounding teeth are prepared to anchor the restoration. Precise impressions are then taken to ensure a perfect fit, and a temporary crown or bridge may be placed while your custom restoration is being made.
-
Final Placement & Aftercare
Once your permanent crown or bridge is ready, it is securely fitted and adjusted for comfort and natural appearance. Our team will guide you on proper aftercare and maintenance to ensure long-lasting results and a healthy, confident smile.
