Composite Veneers in Dubai

A Quick, Affordable Smile Transformation

BOOK YOUR APPOINTMENT

Achieve a Flawless Smile in Just One Visit – Composite Veneers in Dubai

Transform your smile instantly with Composite Veneers at Queens Elite Medical, Dubai’s trusted destination for advanced cosmetic dentistry. Whether you’re looking to fix chips, gaps, discoloration, or uneven teeth, composite veneers offer a fast, cost-effective solution that delivers stunning, natural-looking results – all in just one visit. Crafted directly onto your teeth by our skilled cosmetic dentists, composite veneers are a minimally invasive way to enhance your smile without compromising on aesthetics or quality.

Our International Patients

smile makeover
by our cosmetic dentists

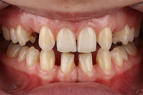
Before

After

Before

Close-up of a radiant smile enhanced with composite veneers at Queens Elite Medical, showing improved tooth shape and color. Before and after transformation of a patient's teeth using composite veneers in Dubai.

After

Before

After

Why Choose Composite Veneers at Queens Elite Medical?

At Queens Elite Medical, our composite veneers offer a swift, minimally invasive, and affordable way to achieve a stunning smile transformation, expertly crafted to blend seamlessly with your natural teeth.

Same-Day Smile Makeover

Achieve a visibly enhanced smile in just one appointment

Natural Aesthetics

High-quality resin material designed to mimic the look of real enamel

Minimally Invasive

Little to no tooth reduction required

Affordable Luxury

A budget-friendly alternative to porcelain veneers without sacrificing beauty

Composite Veneer

Ideal for Treating

Yellowed or permanently stained teeth

Chipped, cracked, or worn teeth

Gaps or uneven spacing

Slightly misaligned or misshaped teeth

Smile makeovers for a youthful, symmetrical appearance

Close-up of a patient’s smile after feldspathic veneers treatment at Queens Elite Medical in Dubai

Patients seeking a durable, long-lasting, and natural-looking smile makeover

Listen to patient feedback

Book Your Smile Consultation Today

Ready to enhance your smile without the wait? Discover the beauty of Composite Veneers at Queens Elite Medical, where precision, affordability, and luxury meet. Schedule your consultation today and let us craft the smile you’ve always dreamed of.
Scroll to Top

BOOK AN APPOINTMENT